Головной мозг
Артерии головного мозга
Вены головы
Височно-нижнечелюстные суставы
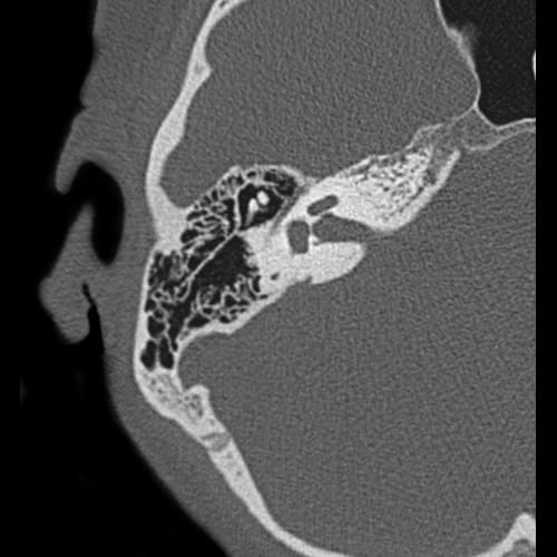
Височные кости
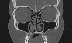
Околоносовые пазухи
Сосуды шеи
Плечевое сплетение
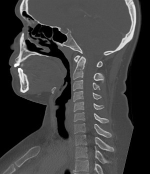
Мягкие ткани шеи
Сердце
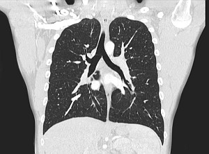
Легкие и Средостение
Молочные железы
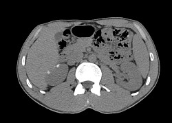
Органы грудной клетки
Поясничный отдел позвоночника
Грудной отдел позвоночника
Крестцово-копчиковый отдел позвоночника
Шейный отдел позвоночника
Крестцово-копчиковый отдел
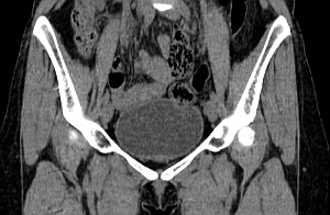
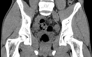
Мужской малый таз
Мужские наружные половые органы
Брюшная полость и забрюшинное пространство
Женский малый таз
Живот
Плечевой сустав
Локтевой сустав
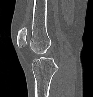
Коленный сустав
Кисть
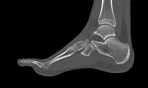
Стопа
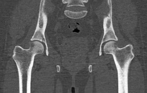
Тазобедренные суставы
Сосуды нижних конечностей
Быстрый Dicom-просмотрщик онлайн – попробуйте прямо сейчас!
Мы открыли доступ к новому DICOM-просмотрщику Атласа — браузерному инструменту для просмотра рентген, УЗИ, МРТ и КТ-исследований. Просмотрщик доступен бесплатно для всех зарегистрированных пользователей.
Вход
На почту был отправлен код подтверждения. Введите этот код в поле ниже. Если вы видите письмо, проверьте "Спам"